·短篇论著·

24例X等臂染色体核型调查及临床分析

邱松 高选 陈虹 刘敏 王鑫

作者单位:250001 济南,山东大学附属生殖医院医学检验科

【摘要】 目的 收集并分析X等臂染色体患者的临床资料,探讨该类核型的遗传学特征、临床特点及其所占比例。方法收集2016年1月—2019年12月间因不孕就诊于山东大学附属生殖医院染色体核型分析报告为X等臂染色体核型患者,共24例,分析X等臂染色体与其临床表现的关系。结果X染色体等长臂9例,核型为46,X,i(X)(q10),嵌合体10例,核型为45,X/46,X,i(X)(q10),X染色体等短臂5例,核型为46,X,i(X)(p10)。患者雌二醇(E2)含量相对较低,而卵泡刺激素(FSH)和黄体生成素(LH)浓度相对升高。抗缪勒管激素(AMH)和血清抑制素B(INH B)的含量较低。结论X等臂染色体有三种表现形式,临床表现和激素水平均不相同,但均有性腺发育不良表现,而等长臂和嵌合体患者表现身材矮小,等短臂患者身高接近正常水平。

【关键词】 X等臂染色体; 染色体核型分析; 遗传学; 激素水平

X等臂染色体属于Turner综合征的一种,由部分或全部体细胞中的X性染色体全部或部分缺失引起,包括X染色体结构异常和数目异常,发病率为1/2 500~1/2 000[1]。X等臂染色体核型多样复杂,临床表现各不相同。本文对来本院就诊的24例X等臂染色体患者的临床特征和染色体核型进行回顾性分析,为临床提供诊治依据。

对象与方法

1. 研究对象:选取从2016年1月—2019年12月就诊于山东大学附属生殖医院,因生育需求进行染色体核型分析,检测报告为X等臂染色体的患者为调查对象,共计24例,进行相关的临床分析。

2.染色体核型分析方法:外周血染色体G显带。将外周血中的淋巴细胞在含有植物血凝素(PHA)的培养基中培养68~72 h,进入生长旺盛的有丝分裂期。随后加入秋水仙素抑制纺锤体的形成,使其停留在细胞分裂的中期。再经过低渗、固定、滴片制成玻片,胰酶消化、Giemsa染色获得G显带标本片。

3. 染色体正常参考值:46,XX(女性)

4. 血清生殖激素检测方法和正常参考值:卵泡刺激素(FSH)和黄体生成素(LH)用电化学发光法(夹心法)检测,雌二醇(E2)用电化学发光法(竞争法)检测,抗缪勒管激素(AMH)和血清抑制素B(INH B)用酶联免疫吸附测定法检测。女性(卵泡期)的正常参考值如下 FSH 3.5~12.5 IU/L;LH 2.4~12.6 IU/L;E2 12.4~233.0 pg/mL;AMH (2.9±2.5)ng/mL:INH B 35~75 pg/mL。

结果

1. X等臂染色体类型:在97 909例染色体核型检查中发现,24例X等臂染色体病例,检出率为2.5/万,其中X染色体等长臂9例,核型为46,X,i(X)(q10);X染色体等短臂5例,核型为46,X,i(X)(p10);嵌合体10例,核型为45,X/46,X,i(X)(q10)。

2. 临床特征:9例X染色体等长臂患者的临床表现为身材矮小、闭经、乳房不发育、外阴幼稚、卵巢较实、无卵泡,见图1。5例X染色体等短臂患者的临床表现为子宫小,卵巢小,身高接近正常水平,偶有生育能力,本文研究发现一例患者可正常生育,见图2。10例X等长臂染色体嵌合体患者的临床表现为身材矮小,在青春期时需要药物人工周期诱导月经,B超显示卵巢不清,见表1。

表1 3种X等臂染色体核型的临床表现

染色体核型类别例数临床表现46,X,i(X)(q10)9身材矮小、闭经、乳房不发育、外阴幼稚、卵巢较实、无卵泡 46,X,i(X)(p10)5身高接近正常,子宫小,卵巢小,偶有生育能力45,X/46,X,i(X)(q10)10身材矮小、卵巢较实、需要人工来月经,靠药物维持

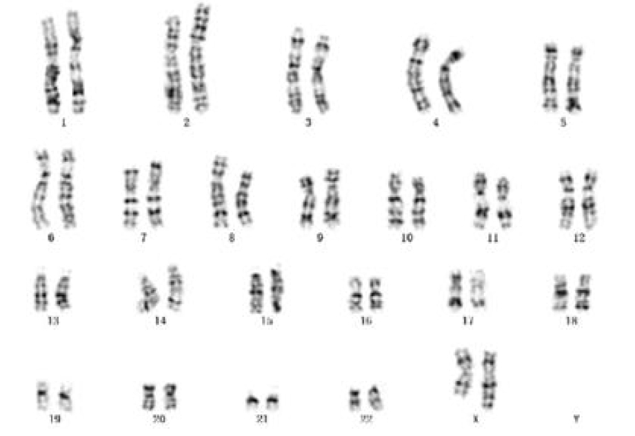
图1 X染色体等长臂核型46,X,i(X)(q10)

图2 X染色体等短臂核型46,X,i(X)(p10)

3. 血清性激素水平分析:患者E2的含量相对较低,而FSH和LH浓度相对升高。AMH和INH B的含量较低,见表2。

表2 24例患者的体征和血清激素水平

染色体核型编号年龄(岁)身高(cm)体重(kg)血清激素水平(卵泡期)FSH(IU/L)LH(IU/L)E2(pg/mL)AMH(ng/mL)INH B(pg/mL)46,X,i(X)(q10)1251504288.219.7<5.0<0.072<102221405014.02.852.7<0.073<103191556010.613.279.5<0.738<104371267213.51.8<5.0<0.080<105251535021.220.89.3<0.069<106311404214.80.210.2<0.069<10731150634.13.874.3 0.590<108261404919.213.6<5.0<0.069<109281596815.618.622.6<0.060<1046,X,i(X)(p10)1311556525.712.651.8<0.087<102371687543.157.611.4<0.071<103291576712.35.440.22.658<104281636063.429.35.5<0.072<105321655824.621.069.2<0.072<1045,X/46,X,i(X)(q10)1321505353.616.4<5.0<0.078<102291605034.413.2<5.0<0.091<103331384564.417.0<5.0<0.078<104251403922.112.7130.1<0.069<105291555266.037.6<5.0<0.072<106291556240.89.0<5.0<0.078<107301386135.512.8<5.0<0.079<108291394047.415.3<5.0<0.079<10930142622.10.4<5.0<0.069<1010311404620.213.0<5.0<0.069<10

讨论

X等臂染色体属于Turner综合征的性染色体结构异常,具有Turner综合征的典型表现,如身材矮小、第二性征发育不良,子宫卵巢异常发育等。X等臂染色体患者的染色体畸变可出现多种核型,表型也呈多样化[2]。本文报告了24例X等臂染色体患者中发现了三种染色体核型,X染色体等长臂9例,等短臂5例,嵌合体10例。

一条染色体的两个臂从形态到遗传结构都完全相同的染色体,称为等臂染色体。一般认为当一条染色体于着丝粒处横裂,长臂或短臂各自形成一条染色体,即形成了等臂染色体。等臂染色体的形成可能是由于双亲之一的生殖细胞在减数分裂II期,X染色体发生着丝粒横裂,或姐妹染色单体交换[3],结果产生了两种异常配子:46,X,i(X)(p10)和46,X,i(X)(q10)。在卵裂过程中,46,X,i(Xq)还可能发生不分离,这样就形成了45,X/46,X,i(Xq)两种细胞系的嵌合体。

X等臂染色体分两种核型,等长臂i(Xq)和等短臂i(Xp),等臂染色体中以X长臂等臂染色体(Xq)最为常见[4],且与患者母亲的年龄无关[5]。目前研究认为,控制躯体表征和认知功能的基因位于X染色体的短臂,而控制卵巢功能的基因位于X 染色体的短臂和长臂[6]。X染色体短臂上基因是单倍型,决定身高的基因位于X短臂上,身材矮小与X染色体短臂单体有关。当发生等长臂时,失去了短臂上的位点,则染色体短臂基因是单倍型,而长臂上基因是三倍型,故i(X)(q10)患者均身体矮小,身高一般低于155 cm。卵巢与子宫发育不全与X染色体长臂单体有关,当发生等短臂时,失去了长臂上的位点,使得长臂基因呈单倍型,短臂基因呈三倍型,故i(X)(p10)患者表现性腺功能较差,性激素水平低,女性外阴发育幼稚,子宫小或缺如,但身高接近正常水平。有研究表明,女性身高及卵巢发育与Xp11-p12和Xq22-q26区的矮小同源盒基因(SHOX)及其他基因的单倍体剂量不足有关[7-8],由于SHOX是导致身高矮小的致病基因,因此X等臂染色体患者的身材矮小[9]

由于控制卵巢功能的基因位于X染色体的短臂和长臂上,只有当X染色体两臂的基因必须同时存在才能有正常的性腺发育。本文研究X等长臂染色体患者由于缺乏短臂,其临床表现为闭经、乳房不发育、外阴幼稚,身高在125~155 cm,与文献[10]报道的124例Turner综合征的临床表型一致。本文X等臂染色体核型患者激素水平显示E2的含量相对较低,而FSH和LH浓度相对升高,是由于体内卵巢组织纤维化,几乎没有生殖细胞或卵泡细胞存在,卵巢组织不产生或只产生少量的性激素,低浓度的性激素对下丘脑-垂体-卵巢轴负反馈作用减弱。与文献[11]报道的12例Turner综合征患者相应激素水平变化一致。AMH和INH B都是测评卵巢储备功能的重要指标,本文患者AMH<0.69 ng/mL,INH B<10 pg/mL,因此,患者体内AMH和INH B的含量较低,也说明卵巢功能发育不良或早衰。

本文X等短臂染色体患者身高(155~170 cm)和体重(60~75 kg)皆在正常范围;但伴有子宫小,卵巢小,靠药物维持月经,AMH<3 ng/mL,INH B<10 pg/mL,多数患者卵巢早衰,提示X等短臂染色体患者的临床表现没有X等长臂染色体患者严重,是否与X染色体长短臂上决定卵巢功能的基因有关还有待于进一步研究。

通常X等臂嵌合体核型患者表现出不同程度的Turner综合征表型[12],多数患者临床表现为闭经,需药物人工辅助周期。该类患者X等臂嵌合比例不同,临床表现也各有差异。已有研究报告[13-14],嵌合比例越大,临床症状越明显;相反嵌合比例越少,临床症状也相应越轻,因此嵌合体患者的临床表现与核型中细胞系所占的比例有关。

综上所述,X等臂染色体不同0核型临床表现不同,但均有性腺发育不良的症状,是进行染色体核型分析指证,为临床提供诊治依据。

参考文献

1 Gonzalez L,Witchel SF.The patient with Turner syndrome:puberty and medical management concerns.Fertil Steril,2012,98:780-786.

2 苏锐.Turner综合征不同染色体核型与临床体征的关系.中国妇幼保健,2008,23:4842-4843.

3 Lorda-Sanchez I,Binkert F,Maechler M,et al.A molecular study of X isochromosomes:Parental origin,centromeric structure,and mechanisms of formation.Am J Hum Genet,1991,49:1034-1040.

4 郑杰梅,刘之英,夏培,等.607例Turner综合征的临床表现及细胞遗传学分析.中华医学遗传学杂志,2017,34:61-64.

5 孙莹璞,杨玲竹,苑中甫,等.56例原发和继发闭经患者细胞遗传学分析.中国优生与遗传杂志,1998,6:34-35.

6 Zinn AR,Ross JL.Molecular analysis of genes on Xp controlling Turner syndrome and premature ovarian failure (POF).Semin Reprod Med,2001,19:141-146.

7 Child Christopher J,Kalifa G,Jones C,et al.Radiological features in patients with short stature homeobox-containing (SHOX) gene deficiency and Turner syndrome before and after 2 Years of GH Treatment.Horm Res Paediat,2015,84:14-25.

8 Bispo AVS,Dos Santos LO,Burégio-Frota P,et al.Effect of chromosome constitution variations on the expression of Turner phenotype.Genet Mol Res,2013,12:4243-4250.

9 Fukami M,Seki A,Ogata T,et al.SHOX Haplo in sufficiency as a cause of syndromic and nonsyndromic short stature.Mol Syndromol,2016,7:3-11.

10 武华红,李辉.Turner综合征124例的核型分类、临床表型和治疗效果分析.中国儿童保健杂志,2016,24:1032-1036.

11 宫剑,熊文栋,杨少燕,等.Turner综合征的核型、临床表现与性激素的分析.中国优生与遗传杂志,2007,15:44-45.

12 Etem A,Faik Gürkan Y,Hüseyin D,et al.Cytogenetic and clinical evaluation of two cases with 45,X/46,X,i(Xq) and 46,X,i(Xq) karyotype.J Clin Exp Invest,2014,5:444-448.

13 章卫国,陈葆国,章鸯,等.表现为正常男性的46,XX/46,XY嵌合体分析.中华医学遗传学杂志,2015,32:453-454.

14 李曼,夏荣达,吉安民,等.1例具有45,X/46,X,i(Xq)/47,X,2i(Xq)核型的Turner′s综合征.中国优生与遗传杂志,2000,8:54.

通信作者:高选(gaoxuan@sduivf.com)

【中图分类号】 R71

(收稿日期:2020-11-02)